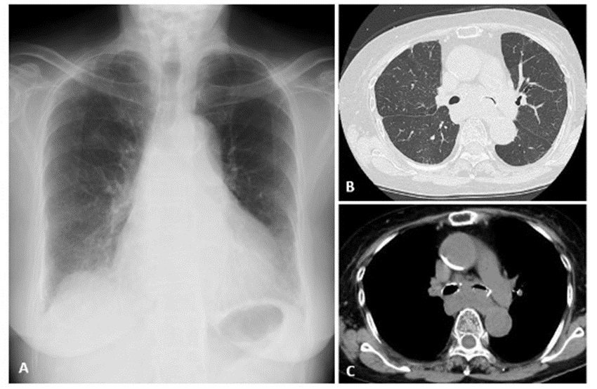
On November 5, auscultate the lung sounds of a patient with left bronchial obstruction. Use iPax to auscultate and compare the bronchial breath sounds on the left and right sides. (November 5, 2025)

On November 5, auscultate the lung sounds of a patient with left bronchial obstruction. Use iPax to auscultate and compare the bronchial breath sounds on the left and right sides.
(November 5, 2025)
※ Use earphones.
https://kikuzosound.com/member_login


***For those who haven’t registered yet
(Register with a smartphone):
Scroll down on the page above and register for free using your SNS account, Google, or LINE.
***For those who wish to access all public content.
By purchasing a subscription, you will be able to access previously published cases, as well as stepwise auscultation content and video explanations that are exclusively available to subscribers.
Please select “Subscription” from the shopping cart to complete your purchase.
We update a new quiz every day on kikuzosound.com.
■iPax information webpage
■Inquiry
email 3sp@telemedica.co.jp
――――
11月5日は、左気管支閉塞のある症例の肺音です。左右の気管支呼吸音の違いを聴き比べてください。
(2025年11月5日)
※音を聴くときはイヤホン利用
https://kikuzosound.com/member_login
***ユーザ登録がまだの方(スマートホンで登録)
上記ページの下方にある「SNSアカウントまたはGoogle、LINEアカウント」でユーザ登録してご利用ください(無料)。
***全ての公開コンテンツを利用希望の方
サブスクリプションを購入すると、以前に公開した症例、その他サブスクリプション向けに公開しているステップワイズ聴診コンテンツや動画解説をご覧いただけます。
買い物かごから、subscriptionを選択してご購入ください。
kikuzosound.comでは、毎日クイズを更新しています。
■iPax紹介サイト
■お問合せ
email 3sp@telemedica.co.jp


